مراجعة لكتاب ”السلوك“ لروبرت سابولسكي - لماذا نفعل ما نفعل؟
المترجم: عدنان أحمد الحاجي
المقالة رقم: 203 لسنة 2020
التصنيف: أبحاث الدماغ
?Behave by Robert Sapolsky review - why do we do what we do
حكاية السلوك البشري السحرية هذه تبدأ رحلتها من الاستجابة الفورية للدماغ رجوعًا إلى الأسباب الاجتماعية طويلة المدى. كما أنها توحي بأن ليس لدينا إرادة حرة.
تمد يدك لتلمس ذراع شخص ما، أو ربما تضغط على زناد. ما الدافع لذلك؟ في هذا المسح الاستثنائي لعلوم السلوك البشري، عالم الأحياء روبرت سابولسكي يأخذ القارئ في رحلة ملحمية إلى الوراء عبر الزمن، ومن خلال التخصصات العلمية المختلفة. سؤاله الحاكم هو: ما الذي يفسر حقيقة أن البشر يمكن أن يرتكبوا مذابح بحق بعضهم البعض ولكنهم يقومون أيضًا بأعمال مذهلة من الشفقة الإيثارية؟ هل هناك وجه من وجهي طبيعتنا ينتصر على الآخر؟
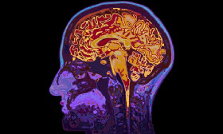
السفر عبر الزمن إلى الوراء هو مبدأ تنظيمي ممتاز. قبل ثوانٍ من قيامنا بفعل ما، علم الأعصاب هو الذي يبحث فيما يحدث في الدماغ. قبل دقائق إلى أيام من فعلنا هو مجال الغدد الصماء «التقلبات الهرمونية». قبل أيام إلى أشهر من فعلنا، نحن نركز على قدرة الدماغ على التعلم وإعادة التوصيل بين عصبوناته [عبر المشابك العصبية، والتي تسمى بالمرونة العصبية]. يعود الدكتور سابولسكي Sapolsky عبر زمن المراهقة والطفولة والحمل «بما في ذلك الوراثيات - الجينتكس»، وما بعد ولادة الشخص، إلى أسباب حتى أكثر بعدًا - تلك الموجودة في الثقافة وعلم النفس التطوري ونظرية اللعبة وعلم الحيوان المقارن. سابولسكي جعل من كتابه كتابًا مسليًا بشكل متسق، مضمنًا فيه ألغازًا داعية للإثارة ويشرحها، «يلاحظ أن البشر ”قد يؤخرون الإشباع لأوقات طويلة بشكل جنوني“ مقارنة بالحيوانات الأخرى. ”لا يوجد خنزير يحد من سعراته الحرارية حتى يبدو أنيقًا في ثياب استحمام في الصيف المقبل“». وهو يحب أن يسمي بعض الحقائق على أنها ”محيرة“ عندما يكون هو مندهش منها شخصياً. هذه الحقائق تنتشر بشكل ساحر.
هذا الكتاب هو توليفة خارقة من مجالات علمية، وفي نفس الوقت دقيق للغاية في تصميمه على الإشارة في كل خطوة إلى حدود معرفتنا. يقدم سابولسكي سببًا واضحًا للرؤية لوجهة النظر المعتادة قبل صف المضاعفات أو الاعتراضات عليها من أبحاث أخرى، خاصة في علم الدماغ. «التستوستيرون، على سبيل المثال، لا يسبب العدوانية ولكنه يضخم الميول الموجودة لصالحها أو ضدها. إن أفعال هذه الجزيئات بشكل عام ”تعتمد بشكل كبير على السياق“». في عبارة أصبحت لسوء الحظ مقترنة بالمحاولات غير النزيهة لتهريب مبدأ الخلقية «1» إلى المدارس الأمريكية، فقد برع سابولسكي في ”تدريس الجدل“، وكثيرًا ما يقدم حكايات لعلماء من ذوي وجهات نظر متعارضة حدثت منذ عقود. في كتابه، يصر على مقدار التباينات الفردية المخفية تحت المتوسطات الإحصائية للدراسات، وكيف سيكون تفسير كل ظاهرة بشرية تقريبًا ”متعدد العوامل“: معتمدًا على العديد من الأسباب. حالة أدبيات الأبحاث المنشورة حول أحد المسائل العلمية ”حالة مشوشة إلى حد كبير“.
خلال هذه الفترة هناك العديد من الأفكار المخالفة للحدس ودروس بليغة. للتشاعر - وهو الشعور بالألم الذي يعاني منه شخص - ليس من المرجح أن يؤدي إلى عمل مفيد كما يؤديه التعاطف الذي تعوزه الحماسة، أو الشفقة ”الباردة «بدم بارد»“. عدم المساواة في الدخل سيئ بشكل ملموس سببيًا لصحة الناس الأكثر فقرًا. هناك صلة راسخة بين الحكم الاستبدادي للجناح اليميني وبين معدل الذكاء المنخفض. الجينات ليست هي قدر المرء، وليست ”أنانية“ وعلى منوال ريتشارد دوكينز «عالم الأحياء التطوري»؛ ”اننا لم نتطور لنكون“ أنانيين 'أو' مُؤثرين «أصحاب إيثار» 'أو أي شيء آخر - لقد تطورنا لنكون حسب طرق معينة وفي وضعيات معينة ”. «ووفقًا لدراسة مسحية مذهلة، فإن 46٪ من النساء سينقذن كلابهن بدلًا من أن ينقذن سيّاحًا أجانب في حالة كانوا فيها مهددين بحافلة جامحة. التفسير التطوري لهذا التصرف هو أنهن يشعرن أنهن أكثر“ قرابة ”مع الكلب.» بشكل عام، لو كانت أسوأ سلوكياتنا هي“ نتاج بيلوجيتنا ”، فكذلك تكون أفضلها. أن يكون سابولسكي sapolsky طيبًا ومراعيًا لمشاعر الآخرين وكريمًا بشكل جلي يجعل من السهل عدم اعتبار ومضات الهبيز hippyish كابتكار الزراعة“ واحدًا من أخطاء الإنسان في جميع الأزمنة"، حيث أدى ذلك إلى حياة الكسل والتسلسل الهرمي الاجتماعي. بالتأكيد، ولكن أيضًا أدت الزراعة إلى نبيذ وعلم وكتب، والتي أنا اقترح، مع الأخذ بجميع الاعتبارات، أنها جعلتها شيئًا جيدًا ليس إلاّ.
أكثر النقاط الشائكة هي النقطة التي جاء عندها سابولسكي لمعالجة مسألة اختيار المرء ومسؤوليته. في ما يقرب من 600 صفحة من كتابه، باستثناء ذكر الغريب من الجوانب ”الادراكية“ لتصرفات الانسان، فقد همش سابولسكي مسألة ما للمنطق الواعي من مكانة في تحديد السلوك، بين جميع العوامل الكيميائية العصبية، والهرمونية والتنموية والتطورية التي ناقشها في كتابه. في الواقع، في بعض الأحيان يكتب كما لو أنه ليس له مكانة على الإطلاق، كما عندما سأل ما هي المدخلات الحسية ”التي تثير الجهاز العصبي لينتج هذا السلوك“. في نهاية المطاف قرر أن يبدي رأيه ويثبته على مذهب الحتمية الصارم: كل فعل يقوم به الإنسان هو حتمًا مُسبَب بأحداث مسبقة في المحيط، بما في ذلك الأحداث في الدماغ. وعليه لا يمكن أن يكون هناك أي شيء يسمى إرادة حرة. «ويترتب على ذلك، بطبيعة الحال، أن النظم الاجتماعية مثل تلك التي للعدالة الجنائية يجب أن يصار الى اصلاحها بشكل كامل، كما اقترح فلاسفة مثل تيد هوندريش Honderich من فترة طويلة» ولذلك هل تعتقد أنه يمكنك أن تختار أن تقوم بفعل أحد الأشياء أو الشيء الآخر؟ انسَ ذلك، كما يقول سابولسكي.
إنها وجهة نظر عامة، على الرغم من عدم وجود إجماع فلسفي ساحق بأي حال من الأحوال. والجدير بالذكر يفضل سابولسكي الاقتباس من علماء الأعصاب وعلماء القانون بشكل رئيسي. ينهي سابولسكي الفصل من الكتاب بعرض لروحه غير الدوغماتية، معترفًا بأنه يجد أنه من المستحيل أن يعيش حياته كما لو لم يكن لديه إرادة حرة. ربما تجدر الإشارة أيضًا إلى أن إحدى الدراسات التي لم يذكرها هنا «من تأليف كاثلين ڤوه Vohs وجوناثان سكولر Schooler نشراها عام 2008» تقتضي إلى أن فكرة أن تكون لدينا إرادة حرة، سواء أكانت صحيحة أم لم تكن كذلك، هي فكرة وهمية placebo حاسمة لمجتمع يقوم بوظائفه بشكل جيد: في التجربة، الأشخاص المشتركون فيها الذين اقتنعوا بأن ليس لديهم إرادة حرة كانوا أكثر احتمالًا للتصرف بشكل غير أخلاقي.
لكن إصرار سابولسكي على حقيقة الحتمية الصارمة يطرح مشاكل أوسع للطريقة التي أطّر بها بقية كتابه. شيء واحد يؤكده بشكل منعش هو أن المنطق والانفعال «”الإدراك والوجدان“» يتفاعلان دائمًا، وأن هناك مزايا لـ ”الجمع بين المنطق والحدس“. يعد هذا توازنًا مرحبًا به لسلالة كارهة للبشر من السايكلوحيا التي تسعى إلى التقليل من شأن العقلانية تمامًا، ولكن ليس من الواضح أنه، من وجهة نظر سابولسكي، يمكن للمنطق الواعي أن يحقق أي شيء على الإطلاق إذا فُرضت القرارات بشكل حتمي من قبل قوانين الطبيعة. مما يشكل تحديا لتفاؤله الإنساني. ويجادل بأننا لسنا تحت رحمة رد فعل اللوزة الدماغية المخيف للوجوه البشرية لعرق «لعنصر» مختلف. يمكننا كبح هذا التحامل والتغلب عليه من خلال التفكير والتأمل. ولكن من وجهة نظره الخاصة، لا يمكننا أن نقرر ذلك بحرية.
وللأسباب نفسها، من غير الواضح كم مقدار القيمة الموجودة في نداءات المؤلف للارتقاء بالتفكير بعناية أكثر في تصرفاتنا، وحتى في إضفاء الطابع السياسي على نوع جديد من ”علم السلام peaceology“ القائم على العلم. ربما تكون الفكرة هي أن مثل هذا التشجيع سيكون جزءًا جديدًا من السلسلة السببية التي تؤثر على سلوك كل فرد، لذلك يرغم سابولسكي قراءه على التصرف بشكل اجتماعي.
على الرغم من ذلك، لا يزال الأمر قابلاً للنقاش، ما إذا كانت الحتمية الصارمة متوافقة مع رسالة الأمل الأخيرة للبشرية من سابولسكي، حيث يروي قصصًا ملهمة عن البطولة الأخلاقية في التاريخ - ضابط المروحيات الذي أوقف مذبحة ماي لائي My Lai الفيتنامية [2] ، مباراة كرة القدم في يوم عيد الميلاد خلال الحرب العالمية الأولى. سابولسكي يقف بجانب حجة ستيڤين بينكر Steven Pinker في كتابه «The Better Angels of Our Nature [3] ، أن الإنسانية أصبحت أقل عنفاً وشرًا بشكل عام، ويشير إلى بعض الدروس من ”المرونة الاجتماعية social plasticity“ التي ظهرت في مجموعات troops قردة البابون [4] ، أحد تخصصات سابولسكي الخاصة. وهكذا يضع نفسه في مواجهة التشاؤم المحافظ حول الطبيعة البشرية الوحشية. ”أي شخص يقول أن أسوأ سلوكياتنا حتمية لا يعرف سوى القليل عن الرئيسيات primates، بما في ذلك نحن البشر.“
ومع ذلك، يبقى السؤال: إذا كان البشر مجرد روبوتات تفاعلية، وعبيد للقانون الطبيعي تعصف بهم سببيًا ملايين من عوامل البيلوجيا والظروف، فلماذا سيكون لنا أي رأي فيما إذا كانت الأمور ستتحسن؟ سواء ستتحسن الأمور أم لن تتحسن، ولكن في هذا الاعتبار السحري يبدو أننا لا نستطيع بالفعل أن نفعل أي شيء حيال ذلك.














